Before & After
The proof is in the pictures!
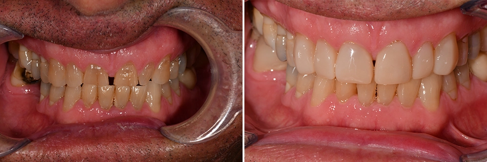
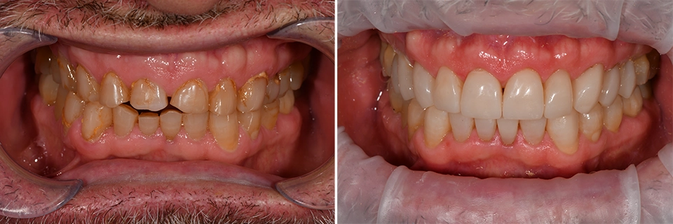
Smile Makeovers – Before and After
At Contemporary Smiles, every before-and-after shown is an actual smile makeover by Dr. Barry Phelan. Cosmetic dentistry combines the artistry of aesthetics with scientific precision, allowing Dr. Phelan to transform crooked, decayed, cracked, chipped or discoloured teeth. Whether you need to restore worn teeth, correct your bite or simply achieve a whiter, brighter grin—let him help you realise your dream smile.
Please note: Our practice has recently moved from Railway Street in Corrimal to our new address – 426 Princes Highway, Corrimal NSW 2518.
Contemporary Smiles
426 Princes Highway
Corrimal, NSW 2518
Corrimal, NSW 2518







