Case Studies
from Contemporary Smiles in Corrimal
Initial Situation
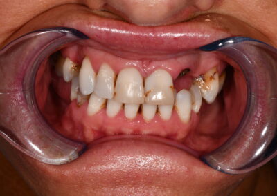
This patient attended my practice believing that her dentition was failing and seeking rehabilitation with all on 4 dental implants. She did not like wearing her denture and was unhappy with the look of her teeth
A thorough dental examination was undertaken, including diagnostic photographs, intra- oral x rays and CBCT.Â
Objectives
Restore bite functionality
Improve aesthetics.
The Treatment Plan
Phase 1. Stablise Existing Dentition
As above, stabilize gum disease with deep cleaning under local anaesthetic. The upper denture was contributing to the poor gum health due to its poor fit and the patients desire to not take it out at night.
To mitigate this and to help to quickly address her aesthetic concerns we prepared her teeth temporary bridges from a) the upper left premolar to central incisor and b) upper right premolar to canine
We also placed crowns on the lower heavily restored and weakened premolar teeth.
Phase 2 Develop function and aesthetic
6 implants were placed to replace the missing teeth.
The lower jaw had significant loss of bone and tissue but we were still able to place an implant on in the lower right first molar area and 2 in the lower left second premolar and molar area.
On the upper jaw, an implant in the first premolar site and used the temporary bridge to guide the tissue healing. This helps give a more natural look to the final restoration.
On the upper left side, the upper left molar and premolar were extracted due to infection, decay and the over eruption of the second premolar in particular. Implants were placed in the second premolar and canine sites.
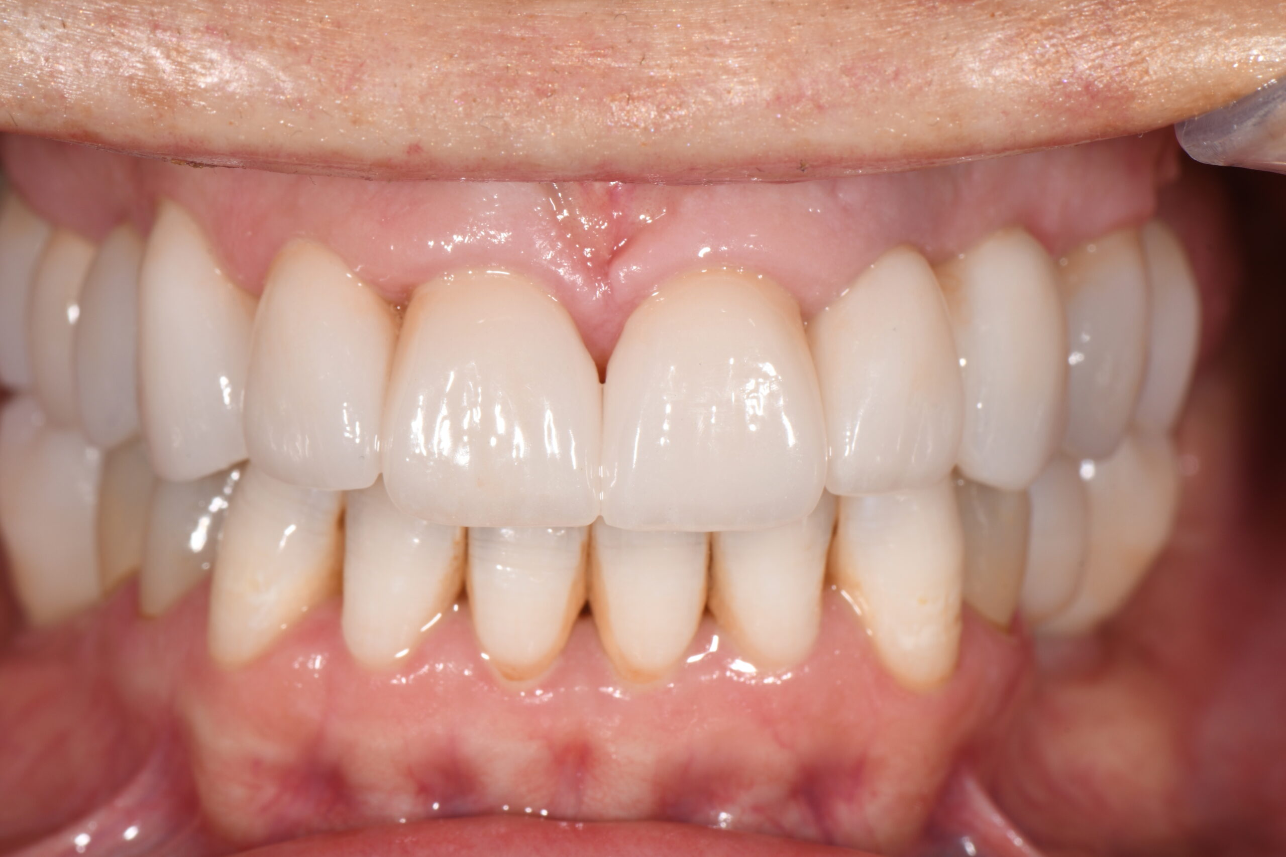
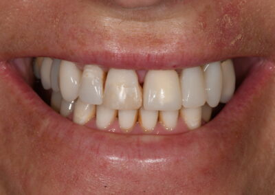
The Outcome
After a period of healing, indirect ceramic crowns were made to fit the upper teeth and implants as well as to the lower implants to restore the px’s function and aesthetics. The patient was happy with the outcome.
I referred the patient to our Oral Health Therapist for ongoing maintenance and regular hygiene appointments to support long-term success.
BOOK IN FOR A FREE CONSULTATION TODAY
Book in for a FREE consultation with one of our dentists at our Corrimal Dental Clinic.
Why choose Contemporary Smiles Dental?
At our practice in Corrimal, patients have access to a comprehensive range of dental treatments. We strive to provide state-of-the-art procedures, including dental implants, orthodontics, hygiene, cosmetic, and unique/bespoke services. Our team of highly skilled and experienced dentists works together to ensure our patients receive the care they need all in one place, without the need for referral to another clinic.
Why do regular dental visits matter?
The importance of routine dental check-ups lies in their ability to detect oral health issues at an early stage, making treatment simpler and more cost-effective. Preventive measures can also be taken to avoid the onset of oral problems. Additionally, certain diseases or medical conditions may manifest symptoms in the mouth, making regular visits to the dentist crucial.
How often do I have to go to the dentist?
Dental treatment is tailored to the individual, as every person's oral health needs are unique. The frequency of dental visits may vary, with some requiring only one or two visits a year, while others may require more. Your smile is unique, and your dental care should reflect that.
What should I look for when choosing a dentist?
It's advisable to consult multiple dentists before making a decision. Dental care is a personal service that relies on a strong relationship between dentist and patient. During your initial visit, you should be able to assess if the dentist is a good fit for you.
What are the early signs and symptoms of mouth cancer?
Mouth cancer can occur in various parts of the mouth including the lips, tongue and the throat. Sadly, mouth cancer has a high mortality rate due to late detection. However, there is hope as precancerous conditions can develop well before cancer and if detected early, can be effectively treated with a high chance of prevention or cure. Some common early signs of mouth cancer include:
- An ulcer or sore throat lasting more than three weeks.
- A white or red patch on the soft tissue, gums, tongue, or inner mouth.
- Chronic sore throat or hoarse voice for over six weeks.
- Difficulty swallowing or feeling of something stuck in the throat.
- Neck swelling lasting more than three weeks.
- Numbness of the tongue or other mouth area.
Is bad breath a sign of gum disease?
Chronic bad breath or a bad taste in your mouth can be a warning sign of gum disease and other oral issues, making it important to identify the cause. If you are experiencing persistent bad breath, schedule a visit with your dentist. Regular check-ups enable them to detect any underlying problems, as your bad breath may indicate a medical condition. If your dentist finds no oral health issues, they may refer you to a primary care physician.
Should I have my wisdom teeth removed?
Wisdom teeth removal is not always necessary, but in certain situations, their arrival can cause discomfort, swelling, or infection. The most frequent issue we encounter is the lack of sufficient space for the wisdom teeth to emerge, leading to the recommendation of extraction for impacted wisdom teeth.
How long will my implants last?
Your new teeth's lifespan depends on the quality of care you provide after the implant area has fully healed (typically 3-6 months) and the crowns have been properly fitted. Proper care, such as you would give to natural teeth, will ensure the longevity of your implants and they can last a lifetime.
How can you get in touch with us?
If you're located in the Illawarra and surrounds, we welcome you to contact us for a consultation. Patients travel from far and wide - including Batemans Bay, Canberra, and Sydney to receive quality dental care from our experienced team.
We'd be happy to discuss your treatment options and help you take the next step towards a healthier smile.


