Case Studies
from Contemporary Smiles in Corrimal
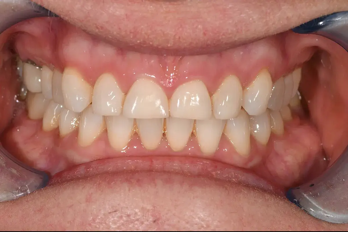
Initial Situation
The patient presented to our practice unhappy with the appearance of her smile. Her primary concern was the disproportionate length of her central incisors, which she felt were too short. The incisal edge position was considered acceptable, though slight lengthening (1mm) was discussed; however, this alone would not achieve ideal aesthetic proportions. The patient was otherwise in good oral health and had recently begun seeing a gum specialist for periodontal care.
Objectives:
- Improve the overall aesthetic balance of the smile
- Address patient dissatisfaction with tooth proportions
- Enhance brightness and shade consistency
- Explore conservative and surgical options to achieve desired results
The Treatment Plan
Phase 1: Hygiene and Whitening
The patient was first referred to our hygienist for a thorough scale and clean, followed by impressions for a take-home whitening kit. She was issued three weeks’ worth of whitening gel with instructions to continue whitening until she was satisfied with the shade. It was explained that additional gel could be supplied if desired results were not achieved within that period. This initial phase helped prep the teeth for future restorative work, ensuring an ideal foundation for color matching.
Phase 2: Laser Gum Contouring and Resin Veneers
The next phase focused on enhancing gingival symmetry and tooth proportions. In-chair laser gum contouring was performed to raise the gingival margins of the central incisors and improve smile balance. The patient was scheduled for two extended bonding appointments (2 x 2-hour sessions), during which resin veneers were placed. A review and final polish occurred one week later to perfect contour, polish, and integration with the natural dentition.
It was explained that if laser results were insufficient in achieving stable, aesthetic gingival heights, crown lengthening would be required. This would involve minor bone removal and a healing period of approximately six weeks. The patient was advised of the surgical nature of this procedure and consented to proceed with this option if necessary. A recovery window from Thursday to Monday was planned to accommodate downtime from work if crown lengthening became required.
The Outcome
The whitening successfully lifted the shade of the patient’s teeth, enhancing brightness and creating a clean canvas for resin work. Laser gum contouring achieved the desired improvement in gingival symmetry, negating the need for crown lengthening at this stage. Resin veneers were bonded seamlessly to the anterior teeth, particularly the centrals, rebalancing proportions and elevating the overall smile aesthetic.
The patient reported high satisfaction with the final outcome, noting increased confidence in her smile. Follow-up review confirmed good healing, color stability, and tissue health. She remains on a maintenance program and is aware of the long-term benefits of continued hygiene and whitening upkeep.
BOOK IN FOR A FREE CONSULTATION TODAY
Book in for a FREE consultation with one of our dentists at our Corrimal Dental Clinic.Why choose Contemporary Smiles Dental?
At our practice in Corrimal, patients have access to a comprehensive range of dental treatments. We strive to provide state-of-the-art procedures, including dental implants, orthodontics, hygiene, cosmetic, and unique/bespoke services. Our team of highly skilled and experienced dentists works together to ensure our patients receive the care they need all in one place, without the need for referral to another clinic.
Why do regular dental visits matter?
The importance of routine dental check-ups lies in their ability to detect oral health issues at an early stage, making treatment simpler and more cost-effective. Preventive measures can also be taken to avoid the onset of oral problems. Additionally, certain diseases or medical conditions may manifest symptoms in the mouth, making regular visits to the dentist crucial.
How often do I have to go to the dentist?
Dental treatment is tailored to the individual, as every person's oral health needs are unique. The frequency of dental visits may vary, with some requiring only one or two visits a year, while others may require more. Your smile is unique, and your dental care should reflect that.
What should I look for when choosing a dentist?
It's advisable to consult multiple dentists before making a decision. Dental care is a personal service that relies on a strong relationship between dentist and patient. During your initial visit, you should be able to assess if the dentist is a good fit for you.
What are the early signs and symptoms of mouth cancer?
Mouth cancer can occur in various parts of the mouth including the lips, tongue and the throat. Sadly, mouth cancer has a high mortality rate due to late detection. However, there is hope as precancerous conditions can develop well before cancer and if detected early, can be effectively treated with a high chance of prevention or cure. Some common early signs of mouth cancer include:
- An ulcer or sore throat lasting more than three weeks.
- A white or red patch on the soft tissue, gums, tongue, or inner mouth.
- Chronic sore throat or hoarse voice for over six weeks.
- Difficulty swallowing or feeling of something stuck in the throat.
- Neck swelling lasting more than three weeks.
- Numbness of the tongue or other mouth area.
Is bad breath a sign of gum disease?
Chronic bad breath or a bad taste in your mouth can be a warning sign of gum disease and other oral issues, making it important to identify the cause. If you are experiencing persistent bad breath, schedule a visit with your dentist. Regular check-ups enable them to detect any underlying problems, as your bad breath may indicate a medical condition. If your dentist finds no oral health issues, they may refer you to a primary care physician.
Should I have my wisdom teeth removed?
Wisdom teeth removal is not always necessary, but in certain situations, their arrival can cause discomfort, swelling, or infection. The most frequent issue we encounter is the lack of sufficient space for the wisdom teeth to emerge, leading to the recommendation of extraction for impacted wisdom teeth.
How long will my implants last?
Your new teeth's lifespan depends on the quality of care you provide after the implant area has fully healed (typically 3-6 months) and the crowns have been properly fitted. Proper care, such as you would give to natural teeth, will ensure the longevity of your implants and they can last a lifetime.
How can you get in touch with us?
If you're located in the Illawarra and surrounds, we welcome you to contact us for a consultation. Patients travel from far and wide - including Batemans Bay, Canberra, and Sydney to receive quality dental care from our experienced team.
We'd be happy to discuss your treatment options and help you take the next step towards a healthier smile.



