Case Studies
from Contemporary Smiles in Corrimal
Restoring Function, Aesthetics, and Oral Health
The Treatment Plan
Phase 1. Management of Decay and Gum Disease
The first phase of treatment focused on addressing the underlying decay and gum disease. Decay risk factors were managed through tailored preventative strategies, including improved oral hygiene practices, fluoride therapy, and dietary modifications. Gum disease was treated with professional scaling and root planning to remove plaque and tartar buildup, followed by ongoing periodontal maintenance to promote healthy gum tissue and prevent disease progression.
Phase 2 Restoration of Front Teeth
To improve the function and appearance of the front teeth, direct resin restorations were used. These restorations effectively treated areas of decay while maintaining a natural aesthetic and preserving the structural integrity of the teeth.
The Outcome
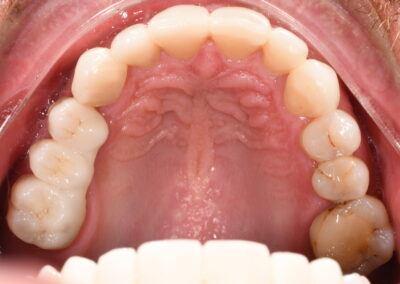
The treatment resulted in a successful restoration of the patient’s oral health, functionality, and aesthetics. Decay was effectively managed, and the patient’s gum disease was brought under control through ongoing periodontal care. The direct resin restorations on the front teeth provided a natural appearance and improved the patient’s confidence in their smile. The placement of tooth-supported bridges on the upper right, upper left, and lower right quadrants, along with implant-supported bridges, restored full chewing function, enhanced stability, and improved overall oral structure. The patient is now on a regular maintenance program to ensure long-term success and continued oral health.
BOOK IN FOR A FREE CONSULTATION TODAY
Book in for a FREE consultation with one of our dentists at our Corrimal Dental Clinic.
Why choose Contemporary Smiles Dental?
At our practice in Corrimal, patients have access to a comprehensive range of dental treatments. We strive to provide state-of-the-art procedures, including dental implants, orthodontics, hygiene, cosmetic, and unique/bespoke services. Our team of highly skilled and experienced dentists works together to ensure our patients receive the care they need all in one place, without the need for referral to another clinic.
Why do regular dental visits matter?
The importance of routine dental check-ups lies in their ability to detect oral health issues at an early stage, making treatment simpler and more cost-effective. Preventive measures can also be taken to avoid the onset of oral problems. Additionally, certain diseases or medical conditions may manifest symptoms in the mouth, making regular visits to the dentist crucial.
How often do I have to go to the dentist?
Dental treatment is tailored to the individual, as every person's oral health needs are unique. The frequency of dental visits may vary, with some requiring only one or two visits a year, while others may require more. Your smile is unique, and your dental care should reflect that.
What should I look for when choosing a dentist?
It's advisable to consult multiple dentists before making a decision. Dental care is a personal service that relies on a strong relationship between dentist and patient. During your initial visit, you should be able to assess if the dentist is a good fit for you.
What are the early signs and symptoms of mouth cancer?
Mouth cancer can occur in various parts of the mouth including the lips, tongue and the throat. Sadly, mouth cancer has a high mortality rate due to late detection. However, there is hope as precancerous conditions can develop well before cancer and if detected early, can be effectively treated with a high chance of prevention or cure. Some common early signs of mouth cancer include:
- An ulcer or sore throat lasting more than three weeks.
- A white or red patch on the soft tissue, gums, tongue, or inner mouth.
- Chronic sore throat or hoarse voice for over six weeks.
- Difficulty swallowing or feeling of something stuck in the throat.
- Neck swelling lasting more than three weeks.
- Numbness of the tongue or other mouth area.
Is bad breath a sign of gum disease?
Chronic bad breath or a bad taste in your mouth can be a warning sign of gum disease and other oral issues, making it important to identify the cause. If you are experiencing persistent bad breath, schedule a visit with your dentist. Regular check-ups enable them to detect any underlying problems, as your bad breath may indicate a medical condition. If your dentist finds no oral health issues, they may refer you to a primary care physician.
Should I have my wisdom teeth removed?
Wisdom teeth removal is not always necessary, but in certain situations, their arrival can cause discomfort, swelling, or infection. The most frequent issue we encounter is the lack of sufficient space for the wisdom teeth to emerge, leading to the recommendation of extraction for impacted wisdom teeth.
How long will my implants last?
Your new teeth's lifespan depends on the quality of care you provide after the implant area has fully healed (typically 3-6 months) and the crowns have been properly fitted. Proper care, such as you would give to natural teeth, will ensure the longevity of your implants and they can last a lifetime.
How can you get in touch with us?
If you're located in the Illawarra and surrounds, we welcome you to contact us for a consultation. Patients travel from far and wide - including Batemans Bay, Canberra, and Sydney to receive quality dental care from our experienced team.
We'd be happy to discuss your treatment options and help you take the next step towards a healthier smile.


