Case Studies

from Contemporary Smiles in Corrimal

Smile Transformation with Comprehensive Restorative Treatment

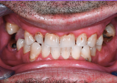
Initial Situation

This patient presented to my clinic with concerns about their smile and difficulty eating, expressing a desire to improve both aesthetics and function. Oral hygiene was poor, with the patient admitting to irregular brushing habits. Gingivitis and calculus were observed, and the patient was educated on their causes, development, and potential complications. Caries and heavy wear due to grinding and loss of posterior teeth were also evident. 

Treatment Options Discussed

  1. Do Nothing: Not advised due to progressive damage and oral health risks.
  2. Treat Gum Disease, Decay, and Hopeless Teeth: Includes dentures as a functional solution.
  3. Comprehensive Restorative Plan:
    • Management of gum disease and decay.
    • Root canal therapy and a crown for tooth 24.
    • Implants to replace missing teeth.
    • Crowns on remaining upper teeth for aesthetics and longevity.

The patient chose the comprehensive restorative plan

The Treatment Plan

The treatment began with a comprehensive scale and clean performed by the oral health therapist. This step addressed gingivitis and calculus buildup while also providing the patient with oral hygiene instructions and advice on maintaining routine care to support long-term gum health.

Next, root canal therapy was performed on tooth 24 due to pulpal necrosis and a large apical periodontitis lesion. During this procedure, slight facial swelling on the left side was observed, though it did not affect the eye. The issue was resolved through extirpation, relieving discomfort and preventing further complications.

To monitor progress, a follow-up cleaning with the oral health therapist was conducted, focusing on improving gum health. Caries removal and restoration were then completed for teeth 33, 43, and 45. Additionally, laser treatment was utilised to expose the clinical crowns of the central incisors, while deep caries on tooth 21 and minor decay on tooth 11 were addressed.

Implant placement followed as the next step in the treatment plan. Implants were successfully placed in the 14, 26, 27, 36, 46, and 47 regions to replace missing teeth and restore chewing function. This critical phase laid the foundation for improved dental stability and function.

In preparation for final restorations, the patient underwent in-chair Zoom whitening to achieve the desired tooth shade. This step ensured the restorations would blend seamlessly with the patient’s natural teeth for an aesthetically pleasing outcome.

The final stage of treatment involved placing ceramic crowns and bridgework on teeth 15 to 24 and 47 to 36. Screw-retained crowns were also fitted on the implants, offering enhanced durability, function, and a natural appearance. This comprehensive approach successfully restored the patient’s oral health and smile.

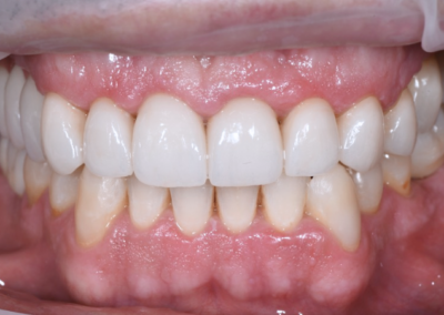
The Outcome

The patient is now satisfied with the aesthetics and function of their smile. Oral health has significantly improved, and the patient was referred to the oral health therapist team for ongoing maintenance. The patient has been advised on the importance of regular reviews, proper oral hygiene practices, and the management of grinding to maintain the longevity of their restorations.

BOOK IN FOR A FREE CONSULTATION TODAY

Book in for a FREE consultation with one of our dentists at our Corrimal Dental Clinic.

Why choose Contemporary Smiles Dental?

At our practice in Corrimal, patients have access to a comprehensive range of dental treatments. We strive to provide state-of-the-art procedures, including dental implants, orthodontics, hygiene, cosmetic, and unique/bespoke services. Our team of highly skilled and experienced dentists works together to ensure our patients receive the care they need all in one place, without the need for referral to another clinic.

Why do regular dental visits matter?

The importance of routine dental check-ups lies in their ability to detect oral health issues at an early stage, making treatment simpler and more cost-effective. Preventive measures can also be taken to avoid the onset of oral problems. Additionally, certain diseases or medical conditions may manifest symptoms in the mouth, making regular visits to the dentist crucial.

How often do I have to go to the dentist?

Dental treatment is tailored to the individual, as every person's oral health needs are unique. The frequency of dental visits may vary, with some requiring only one or two visits a year, while others may require more. Your smile is unique, and your dental care should reflect that.

What should I look for when choosing a dentist?

It's advisable to consult multiple dentists before making a decision. Dental care is a personal service that relies on a strong relationship between dentist and patient. During your initial visit, you should be able to assess if the dentist is a good fit for you.

What are the early signs and symptoms of mouth cancer?

Mouth cancer can occur in various parts of the mouth including the lips, tongue and the throat. Sadly, mouth cancer has a high mortality rate due to late detection. However, there is hope as precancerous conditions can develop well before cancer and if detected early, can be effectively treated with a high chance of prevention or cure. Some common early signs of mouth cancer include:

 

  • An ulcer or sore throat lasting more than three weeks.
  • A white or red patch on the soft tissue, gums, tongue, or inner mouth.
  • Chronic sore throat or hoarse voice for over six weeks.
  • Difficulty swallowing or feeling of something stuck in the throat.
  • Neck swelling lasting more than three weeks.
  • Numbness of the tongue or other mouth area.
Is bad breath a sign of gum disease?

Chronic bad breath or a bad taste in your mouth can be a warning sign of gum disease and other oral issues, making it important to identify the cause. If you are experiencing persistent bad breath, schedule a visit with your dentist. Regular check-ups enable them to detect any underlying problems, as your bad breath may indicate a medical condition. If your dentist finds no oral health issues, they may refer you to a primary care physician.

Should I have my wisdom teeth removed?

Wisdom teeth removal is not always necessary, but in certain situations, their arrival can cause discomfort, swelling, or infection. The most frequent issue we encounter is the lack of sufficient space for the wisdom teeth to emerge, leading to the recommendation of extraction for impacted wisdom teeth.

How long will my implants last?

Your new teeth's lifespan depends on the quality of care you provide after the implant area has fully healed (typically 3-6 months) and the crowns have been properly fitted. Proper care, such as you would give to natural teeth, will ensure the longevity of your implants and they can last a lifetime.

How can you get in touch with us?

If you're located in the Illawarra and surrounds, we welcome you to contact us for a consultation. Patients travel from far and wide - including Batemans Bay, Canberra, and Sydney to receive quality dental care from our experienced team.

We'd be happy to discuss your treatment options and help you take the next step towards a healthier smile.

Popular Searches